Bel sorriso è sempre IN!

Benvenuti a InDent, studio dentistico per impiantologia e capsule.

le ultime notizie

 

Innesto osseo

La mancanza di uno o più denti, la protesi che non sta ferma?

 

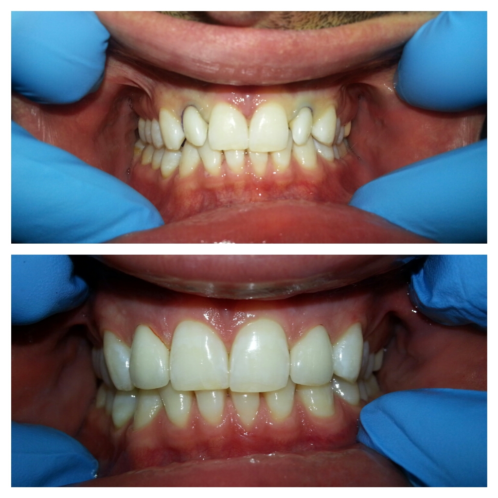
In promozione questo mese, CORONE EMPRESS CERAMICA

 
 

i nostri servizi

  • sbiancamento dei denti
  • otturazioni
  • faccette
  • Ablazione tartaro
  • detartrasi
  • sabbiatura
  • Gioielli dentali
  • Le otturazioni in composito
  • Le cure canalari
  • Odontoiatria minimamente invasiva.
  • corone
  • ponti
  • dentiere complete
  • protesi parziali
  • inlay, onlay, overlay
  • corone, ponti e protesi sugli impianti
  • estrazione del dente
  • apicetomia
  • alveotomi
  • impianti
  • fluorizzazione      
  • otturazione colorata al dente di latte
  • otturazioni sigilanti

Ortodonzia fissa e dispositivi mobili

  • ablazione tartaro
  • il curetaggio delle tasche gengivali
  • GBR / GTR
  • gengivoplastica
  • sovrapposizione delle recessioni
  • correzioni estetiche della gengiva
  • trattamento parodontale
  • stecche da sport 
  • stecca contro il russare
  • stecche contro digrignamento dei denti

inDent  garantisce l'utilizzo di materiali di alta qualità per tutti i lavori dentistici che rimangono in bocca e dà una speciale garanzia su tutti i lavori nel campo della implantologia e protetica.

  • Protesi fissa (corone, ponti)
  • Protesi (totale e protesi parziali)
  • Impianti Bego, Astra, Straumann, Nobel